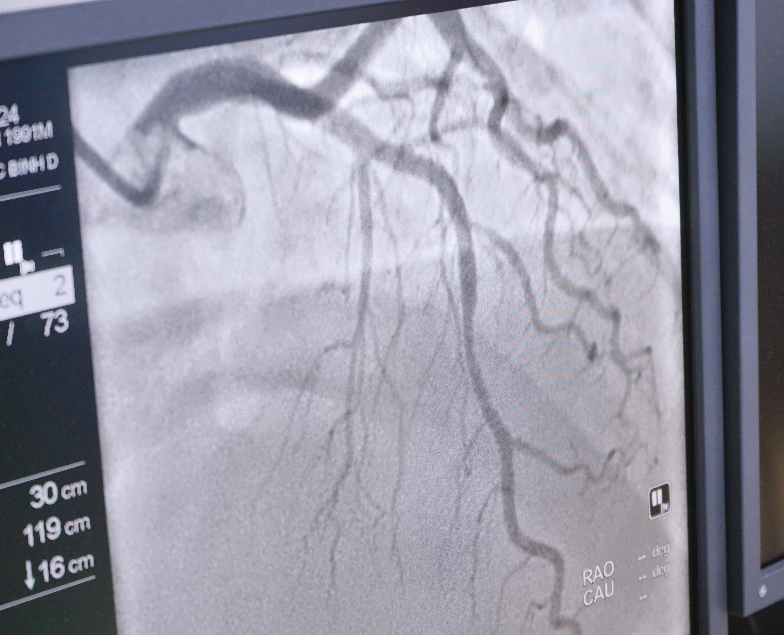
Chụp mạch máu số hóa xóa nền (DSA)
MÓN QUÀ DÀNH TẶNG NGƯỜI THÂN
Bệnh nhân: B.V.M sinh năm 1956 - Bắc Tân Uyên - Bình Dương. Khi biết bệnh viện đa khoa Medic Bình Dương đưa vào hoạt động kỹ thuật chụp mạch vành đã đến đăng ký thực hiện ngay để tầm soát sức khỏe của "Trái Tim".
Bác B.V.M chia sẻ: "Thật sự đây là một khoản tiền tương đối nhưng đổi lại Tôi có được sự an tâm về sức khỏe của mình nên Tôi không ngại quyết định thực hiện ngay để phát hiện sớm vẫn tốt hơn sau này".
Sau khi chụp mạch vành, bệnh nhân cảm thấy rất vui vì đã tìm ra nguyên nhân do hẹp 2/3 nhánh Tim và có phương án xử lý kịp thời, nếu để lâu sẽ có nguy cơ dẫn đến suy tim và đột tử.
Hãy để Medic Bình Dương chăm sóc sức khỏe tim mạch của bạn, từ những bước đầu tiên của chẩn đoán đến những phương pháp điều trị hiện đại. Chúng tôi sẵn sàng đồng hành và mang đến cho Quý khách hàng những trải nghiệm chăm sóc y tế tốt nhất, vì sức khỏe và niềm hạnh phúc của khách hàng là niềm vinh hạnh của chúng tôi.
"Chụp mạch vành" khảo sát sức khỏe tim mạch sớm - Món quà giá trị cho người thân
|
|
|
|
|
|
28/07/2025 313 Lượt xem
“Bố ơi, trước khi về Mỹ, Bố nên đến Trung tâm Can thiệp Tim mạch Medic Bình Dương kiểm tra tim mạch kỹ lại. Chuyến bay dài, mình không chủ quan được đâu!”
19/05/2025 379 Lượt xem
Vừa qua, Bệnh viện Đa khoa Medic Bình Dương phối hợp cùng đội ngũ chuyên gia tim mạch từ Bệnh viện Đại học Y Dược TP.HCM đã thực hiện thành công các ca đặt stent mạch vành cho bệnh nhân bị hẹp tới 90% nhánh chính mạch máu nuôi tim.
15/05/2025 647 Lượt xem
Bệnh viện Đa khoa Medic Bình Dương – Hợp tác cùng Bệnh viện Đại học Y Dược TP. Hồ Chí Minh mang đến dịch vụ chụp mạch vành và đặt stent với giá ưu đãi chưa từng có. Cơ hội vàng để bảo vệ trái tim bạn!
20/09/2024 554 Lượt xem
Bệnh nhân năm nay 69 tuổi, sinh sống tại Tân Uyên, Bình Dương, đã phải đối mặt với những triệu chứng đáng lo ngại như đau ngực, thở dốc và khó thở. Qua lời giới thiệu của cô hàng xóm, ông quyết định đến Medic Bình Dương để thực hiện kiểm tra tổng quát sức khỏe, với mong muốn tìm ra nguyên nhân và giải pháp cho các vấn đề tim mạch mà mình đang gặp phải.
06/09/2024 780 Lượt xem
Trong cuộc sống hiện đại, người ta thường bị cuốn vào vòng xoáy công việc, tiền bạc và vật chất. Nhưng liệu có bao giờ chúng ta dừng lại và tự hỏi: “Tiền nhiều để làm gì nếu không có sức khỏe?”





