RĂNG SỨ ZIRCONIA TRONG NHA KHOA
Khái niệm răng sứ Zirconia trong nha khoa.
_ Zirconia (ZrO2) là oxit của kim loại Zirconium (Zr) được phát hiện từ rất lâu. Do có tính chất đặc biệt, Zirconia được sử dụng rộng rãi trong các nghành công nghiệp kỹ thuật cao như: làm vỏ tàu vũ trụ con thoi, thắng xe hơi,…Zirconia còn được sử dụng rộng rãi trong y khoa từ lâu do có đặc tính tương hợp sinh học tốt, như thay thế khớp hông, khớp gối nhân tạo.
Răng sứ Zirconia
_ Zirconia có những tính chất đặc biệt hiếm có ở những vật liệu khác như : màu trắng , rất cứng,có khả năng chống đứt gẫy và khả năng chống mài mòn cao…Zirconia đã được các nhà khoa học nghiên cứu và tạo ra loại vật liệu có thành phần cơ bản là Zirconia ( tạm gọi là vật liệu Zirconia) để ứng dụng an toàn vào nha khoa để thực hiện cùi giả, implant và implant abutments, mắc cài chỉnh nha và làm “khung sườn” cho mão và cầu răng sứ …
_ Vật liệu Zirconia dùng cho phục hình sứ trong nha khoa rất cứng và nhiệt độ nóng chảy rất cao, nên không thể dùng phương pháp đúc thông thừơng để tạo ra một “khung sườn” để nâng đỡ cho lớp sứ phủ bên ngoài liên kết với nó (giống như bộ xương người dùng để nâng đỡ toàn bộ cơ thể).
“Khung sườn” và hệ thống máy CAD/CAM nha khoa
_ Do đó để tạo ra một “khung sườn” như trên,vật liệu Zirconia được “tiện” bằng hệ thống máy chuyên dụng dùng trong nha khoa theo phương pháp CAD/CAM (Computer-Aided Design/ Computer-Aided Manufacturing ).
Đắp sứ lên “khung sườn” được các chuyên gia đắp từng lớp
_ Sau đó, “khung sườn” này được đắp lên những lớp sứ và đem đi “nung” cho giống hình dáng và màu răng thật của từng bệnh nhân. Tạo ra một răng sứ có “khung sườn” làm bằng vật liệu Zironia ( răng sứ kim loại có khung sườn làm bằng hợp kim ) hay còn gọi là răng sứ Zirconia.
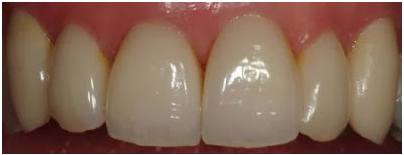
Răng sứ được gắn trên miệng bệnh nhân
Những ưu điểm của răng sứ Zirconia là gì?
- Tính thẩm mỹ cao, có thể đáp ứng được những nhu cầu cao về thẩm mỹ của bệnh nhân.
- Không đen đường viền nướu.
- Tính tương hợp sinh học cao.
- Làm từng răng đơn lẻ và có thể làm được những cầu răng dài và phức tạp ( cầu răng nhiều đơn vị ).
- Thực hiện được cho cả răng trước và răng sau.
- Độ chính xác và khít sát với cùi răng cao.
- Chịu được lực nhai lớn.
- Cứng chắc và đề kháng với lực làm nứt gẫy khung sườn rất tốt.
- Không mài nhiều mô răng hơn so với các phục hình mão sứ kim loại khác.
- Thời gian sử dụng lâu.




"Khàn tiếng không khỏi – Coi chừng polyp thanh quản"
Vào những thời điểm thời tiết thay đổi đột ngột, nhiệt độ thất thường giữa ngày và đêm – số lượng bệnh nhân viêm họng cấp tại các phòng khám Tai Mũi Họng tăng rõ rệt, đặc biệt ở trẻ em và người lớn có cơ địa dị ứng.
Xem thêm