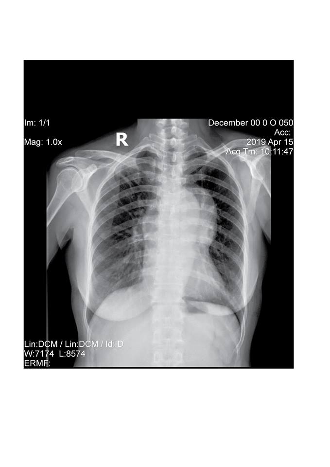
CHẨN ĐOÁN HÌNH ẢNH PHÁT HIỆN U QUÁI TRUNG THẤT
Ho kéo dài, khó thở, tức ngực..Bạn đừng nên xem thường.!!!
Bệnh nhân K trước đó đã khám và uống thuốc ở 1 cơ sở y tế nhưng không bớt , nên đã tìm đến Bệnh viện Medic-BD để kiểm tra và thăm khám.
Tại Bệnh viện Medic Bình Dương, bệnh nhân đã được Bác sĩ chuyên khoa thăm khám và chỉ định đi chụp X- Quang ngực thẳng. Sau khi có kết quả, Bác sĩ nghi ngờ có dấu hiệu bất thường ở trung thất, đã hội chẩn và cho chỉ định chụp CT cắt lớp vi tính Lồng ngực kỹ thuật cao với máy CT Scanner 32 lát của hãng GE Mỹ 2017
Sau khi chụp CT, phát hiện có một khối choán chỗ trung thất trước to, làm cho bệnh nhân ho kéo dài, khó thở, tức ngực. Chẩn đoán đây là trường hợp U quái trung thất nên đã chuyển lên tuyến trên để phẫu thuật kịp thời.
Khi Bạn có dấu hiệu bất thường về sức khỏe, đừng bao giờ chủ quan. Hãy đến cơ sở y tế để kiểm tra ngay Bạn nhé..!!!
Tin tức liên quan
30/05/2023 | 3528 Lượt xem
Máy đo Holter 24h là một thiết bị y tế được sử dụng để giám sát nhịp tim của bệnh nhân trong suốt 24 giờ. Đây là một phương pháp chẩn đoán không xâm lấn và rất hiệu quả để phát hiện các rối loạn nhịp tim và các vấn đề liên quan đến tim mạch.
30/06/2025 | 324 Lượt xem
Tại Bệnh viện Đa khoa Medic Bình Dương, chúng tôi ứng dụng các kỹ thuật can thiệp cơ xương khớp hiện đại dưới hướng dẫn siêu âm, giúp chẩn đoán và điều trị hiệu quả các bệnh lý thường gặp
17/06/2020 | 7731 Lượt xem
Nội soi tiêu hóa là thủ thuật được áp dụng để bác sĩ chuyên khoa có thể quan sát rõ ràng tình trạng bên trong dạ dày, thực quản, tá tràng của người bệnh bằng cách cho ống soi mềm vào trong đường tiêu hóa trên. Đây là thủ thuật mang lại hiệu quả tối đa cho việc chẩn đoán, phát hiện các bệnh lý trong đường tiêu hóa tên, phát hiện các tổn thương. Hiện nay có hai phương pháp phổ biến là nội soi thường và nội soi gây mê.
04/05/2020 | 4296 Lượt xem
Hiện nay, bệnh sỏi thận rất phổ biến ở các nước nhiệt đới nóng ẩm như Việt Nam, thường hình thành khi nước tiểu bị lắng cặn, khiến các khoáng chất kết dính lại với nhau.
10/07/2019 | 3894 Lượt xem
09/07/2019 | 3588 Lượt xem
19/07/2024 | 1137 Lượt xem
Vừa qua, chúng tôi tiếp nhận cấp cứu bé nam 9 tuổi chấn thương đầu do tai nạn sinh hoạt. Sau khi chụp CT may mắn không ghi nhận tổn thương não và hệ thống xương hộp sọ
16/04/2020 | 5992 Lượt xem
Nội soi thực quản - dạ dày - tá tràng là công cụ hình ảnh học hữu hiệu nhất giúp phát hiện các tổn thương bên trong dạ dày, đại tràng, đặc biệt chẩn đoán viêm loét dạ dày tá tràng và ung thư. Phương pháp này rất phổ biến và được chỉ định rộng rãi. Tuy nhiên, để đảm bảo kết quả chính xác cũng như hạn chế sự khó chịu, đau đớn khi nội soi, người bệnh nên lựa chọn các cơ sở Y tế lớn, uy tín.
28/05/2020 | 3159 Lượt xem
Hiện nay, người mắc bệnh thoát vị đĩa đệm ngày một tăng và có xu hướng trẻ hóa, nhất là ở những người làm văn phòng, do thường ngồi lâu một chỗ và sai tư thế. Nó mang đến những cơn đau lưng dữ dội rồi âm ỉ, ảnh hưởng tiêu cực đến chất lượng cuộc sống.


                                    
                                    
                                    
                                    
                                    
                                    
                                    
                                    
                                    
Xem thêm