LẠC NỘI MẠC TỬ CUNG Ở THÀNH SAU BÀNG QUANG
Khoảng hơn 1 năm nay, bệnh nhân thường xuyên tiểu buốt, tiểu dắt tái phát nhiều lần. Triệu chứng quan trọng là mỗi lần có kinh thì đau bụng hạ vị và đi tiểu đau tăng lên. Bệnh nhân đã đi khám nhiều nơi, siêu âm và xét nghiệm chẩn đoán là Nhiễm trùng tiểu và đã uống nhiều kháng sinh + Mictableu ( Thuốc đi tiểu ra màu xanh)
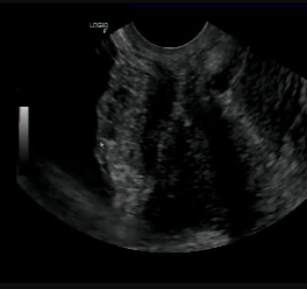
Kết quả siêu âm của bệnh nhân, Siêu âm qua đường bụng và đầudò qua ngả âm đạo :Ghi nhận cấu trúc echo kém kích thước # 38 x 19mm ở cùng đồ trước, giới phía trước tử cung-sau bàng quang, đẩy lồi vào lòng bàng quang, giới hạn khá rõ, bờ kém đều, bên trong có nhiều nang nhỏ, xâm lấn làm mất cấu trúc lớp thành sau bàng quang, thành trong bàng quang vẫn còn khá mịn màng.
Từ triệu chứng lâm sàng + hình ảnh siêu âm chúng tôi chẩn đoán : Lạc nội mạc tử cung ở thành sau bàng quang – Bladder endometriosis.
Sau đó bệnh nhân được chuyển lên bệnh viện Từ Dũ chụp MRI với kết quả tương đồng tại bệnh viện chúng tôi.
Việc phát hiện bệnh lý này giúp cho bệnh nhân có hướng điều trị chính xác. Kết thúc việc uống kháng sinh không đúng chỉ định kéo dài trong thời gian vừa qua. Bệnh nhân rất hài lòng.
Lạc nội mạc tử cung là tình trạng nội mạc tử cung nằm lạc chỗ ngoài buồng tử cung như buồng trứng,ruột, vết mổ, bàng quang…nhưng nói chung ở bàng quang là khá hiếm gặp ( Theo một báo cáo chỉ chiếm 6 % tổng số ca lạc nội mạc) .Và dù nằm lạc chỗ nhưng nội mạc này vẫn chịu tác động của nội tiết tố nên sẽ gây ra nhiều triệu chứng và đôi khi gây chẩn đoán nhầm sang bệnh lý khác.
=> Nếu bạn có các biểu hiện của bệnh lý hệ tiết niệu hay phụ khoa như tiểu buốt, ra huyết trắng, đau hạ vị, ra huyết bất thường…. Hãy đến khám tại bệnh viện chúng tôi. Tại đây chúng tôi có đủ nhân lực: bs chuyên về tiết niệu , về sản phụ khoa , bs chẩn đoán hình ảnh cùng với hệ thống máy siêu âm – CT – MRI- Xét nghiệm đến từ hãng GE của Mỹ.


                                    
                                    
                                    
                                    
                                    
                                    
                                    
                                    
                                    
Xem thêm