ĐAU LƯNG DAI DẲNG VÀ CHẨN ĐOÁN ĐỘT PHÁ
Chúng ta đều biết đau lưng là một vấn đề phổ biến mà nhiều người lớn mắc phải, nhưng khi một trẻ tuổi teen phải chịu đựng cơn đau lưng kéo dài, chúng ta cần tìm hiểu sâu hơn. Đã có trường hợp một cô bé 16 tuổi bị những cơn đau lưng dai dẳng đeo bám khiến em phải ghé thăm không biết bao nhiêu phòng khám mà vẫn chưa tìm ra lời giải, nỗi lo lắng không chỉ của riêng em mà còn của cả gia đình ngày càng lớn dần.
Sau bao ngày trăn trở và tìm kiếm, một cuộc thăm khám tại bệnh viện Medic Bình Dương đã hé lộ nguyên nhân thực sự: đó là vẹo cột sống do một dị tật bẩm sinh hiếm gặp mang tên Đốt sống bán phần ( Hemivertebra) ở cột sống ngực.
ĐỐT SỐNG BÁN PHẦN LÀ GÌ?
Cột sống của chúng ta được cấu tạo từ nhiều đốt xương nhỏ xếp chồng lên nhau. Ở người bình thường, mỗi đốt sống có hình dạng khối đều đặn. Tuy nhiên, ở những người mắc đốt sống bán phần, một phần của đốt sống không phát triển hoàn chỉnh ngay từ khi còn trong bụng mẹ. Điều này khiến đốt sống có hình dạng như một cái nêm, làm cho cột sống không còn thẳng mà bị cong vẹo. Đây thường là nguyên nhân chính gây ra vẹo cột sống bẩm sinh, hoặc đôi khi là gù (cong ra sau) hay ưỡn (cong ra trước).
TẠI SAO CƠN ĐAU XUẤT HIỆN Ở TUỔI TEEN?
Nhiều trường hợp đốt sống bán phần có thể không gây đau hoặc chỉ có đường cong nhẹ khi còn nhỏ. Nhưng khi trẻ lớn lên, đặc biệt trong giai đoạn dậy thì và tăng trưởng nhanh chóng ở tuổi teen, sự mất cân bằng của cột sống do đốt sống hình nêm gây ra ngày càng rõ rệt. Áp lực không đều lên các đốt sống và cơ bắp xung quanh có thể dẫn đến đau lưng kéo dài, mỏi, hoặc thậm chí là ảnh hưởng đến các dây thần kinh. Tình trạng này nhấn mạnh tầm quan trọng của việc theo dõi và can thiệp kịp thời.
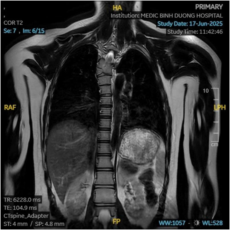
Hình1: Dị tât đốt sống ngực bán phần ở tầng T6 gây vẹo cột sống.
Hình 2: Bất thường mạch máu trong ống sống đi kèm.
CHẨN ĐOÁN VÀ QUẢN LÝ SỚM LÀ CHÌA KHÓA
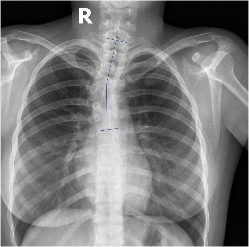
Nếu con bạn, đặc biệt là ở lứa tuổi dậy thì, có dấu hiệu đau lưng không rõ nguyên nhân, vai lệch, hoặc một bên hông cao hơn bên kia, đừng bỏ qua. Hãy đưa trẻ đi khám bác sĩ chuyên khoa cột sống. Các phương pháp chẩn đoán hình ảnh như chụp X-quang, CT scan (chụp cắt lớp) hoặc MRI (chụp cộng hưởng từ) sẽ giúp bác sĩ xác định chính xác tình trạng đốt sống bán phần và mức độ cong vẹo.
Tùy vào mức độ nghiêm trọng, bác sĩ có thể đề xuất các phương pháp quản lý: từ việc theo dõi định kỳ, sử dụng nẹp hoặc áo chỉnh hình để kiểm soát đường cong, cho đến phẫu thuật trong những trường hợp đường cong tiến triển nhanh hoặc gây biến chứng. Phẫu thuật giúp loại bỏ đốt sống bất thường và chỉnh thẳng cột sống, ngăn ngừa những hậu quả lâu dài như ảnh hưởng đến chức năng hô hấp hay thần kinh.
Điều quan trọng cần biết là, dị tật đốt sống bán phần thường không xuất hiện đơn độc. Nó có thể là tín hiệu cảnh báo cho nhiều bất thường tiềm ẩn khác trong cơ thể, đặc biệt là ở tim, thận hoặc các hệ cơ quan quan trọng khác. Chính vì vậy, câu chuyện của em không chỉ là hành trình tìm kiếm sự chữa lành cho cột sống, mà còn là lời nhắc nhở khẩn thiết về tầm quan trọng tối đa của việc đi khám bệnh sớm và toàn diện khi phát hiện bất kỳ dấu hiệu bất thường nào. Đừng bỏ qua những triệu chứng nhỏ, vì chúng có thể là manh mối dẫn đến một chẩn đoán quan trọng, mở ra cánh cửa cho việc can thiệp kịp thời và bảo vệ sức khỏe tổng thể của trẻ.
Đốt sống bán phần là một dị tật bẩm sinh, nhưng với sự quan tâm đúng mức và can thiệp kịp thời, chúng ta có thể giúp các em bé và thanh thiếu niên có một cuộc sống khỏe mạnh, năng động. Đừng ngần ngại tìm kiếm sự tư vấn y tế khi có bất kỳ lo ngại nào về cột sống của con bạn. Chẩn đoán và điều trị sớm là chìa khóa để đạt được kết quả tốt nhất. Liên hệ trực tiếp qua số hotline 0915.045.115 hoặc truy cập trang web https://medicbinhduong.vn/ để được tư vấn.



Xem thêm